不吸烟、吸烟、感染冠状病毒,三个肺部X光照片,看完我想戒烟了
			
			 
			
			 不吸烟、吸烟、感染冠状病毒,三个肺部X光照片,看完我想戒烟了
从2025年到2025年,人类已经和冠状病毒斗争了一年。很多人开玩笑地说2025就是2025的plus版。
尽管人们发明出了各种抗击病毒的药物、疫苗、可以最大限度地减轻病毒对人们的伤害,但感染冠状病毒仍然不是一个开玩笑的事情。今天小编就借用几张肺部X光照片,和大家一起看看,健康的人、吸引者、冠状病毒感染者的肺部是什么样!

德克萨斯理工大学健康科学中心助理教授布列塔尼·班克黑德·肯德尔博士,在社交媒体上分享了确诊冠状病毒者的肺部的情况,并说:“比她见过的任何一种可怕的吸烟者的肺部都差”。
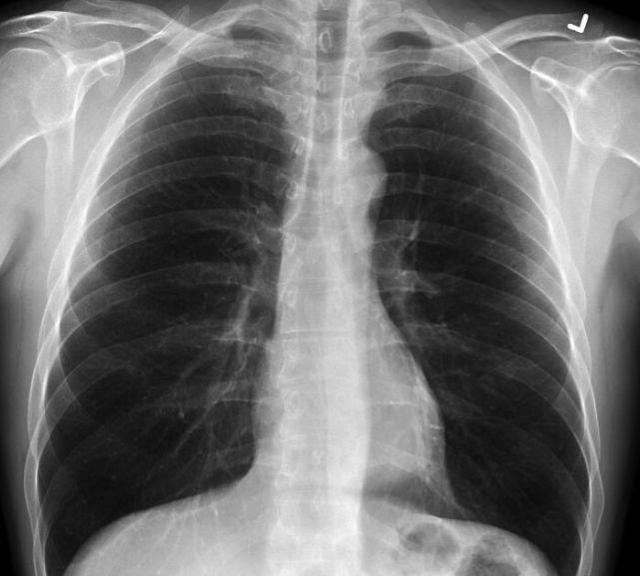
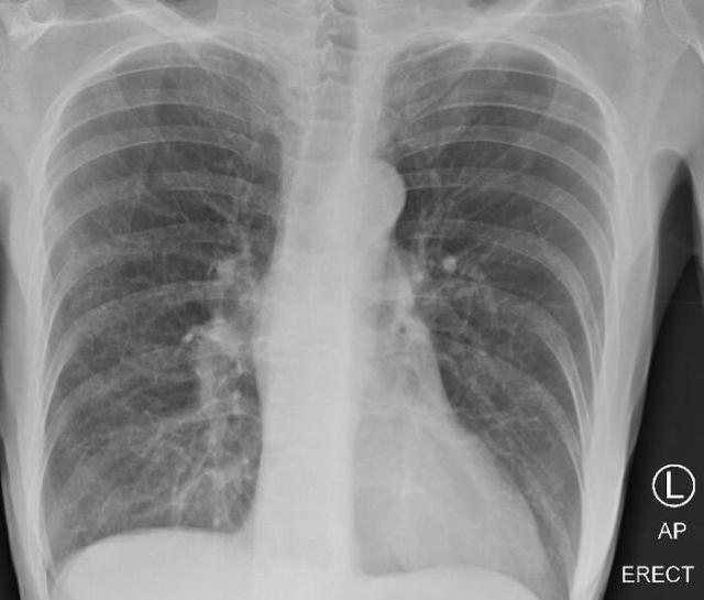
医生发布了三张肺部X光的照片,其中一名健康患者,一名吸烟者和一名COVID-19患者,以指出差异。
不吸烟人的肺部很干净,它们有很多黑色空间,这表明一个人可以吸入大量空气

吸烟者肺部的X光照片,您会发现有些朦胧现象表明疤痕和充血。

感染冠状病毒后肺部几乎呈白色,肺部已严重受损。

这些照片在社交媒体上获得广泛关注后,她说:从X射线比较可以看出,感染冠状病毒后的肺部看起来比吸烟者的肺部更糟。
医生告诉媒体:“虽然有人说我很好,我没有任何问题,但你查看他们的胸部X光片后,你会惊讶地发现,要么你会看到很多白色的密集疤痕,要么会在整个肺部看到它。即使很多人还没有感觉,但并不意味着以后也不会遇到问题,即使无症状的患者,也有70%至80%的人肺部x光片不容乐观。”。
所以看完这组照片后,小编奉劝大家戒烟、戴上口罩。有一个可以呼吸新鲜空气的肺不好吗?
 
			标签: 
			
			
			
			
			
				
			
			
				
				
					
					 193 
				Threads注册人数5天破亿,或对推特造成重大打击 Meta公司推出的社交平台Threads在上线不到5天的时间内注册人数就突破了1亿。自7月5日推出以来,Threads发展迅速,扎克伯格试图通过承诺该... 
			
			
			
			
				
			
			
				
				
					
					 186 
				最全面的武器出装搭配,学会你就是王者 战塔英雄中除了武器还有装备这一个功能,但是装备的影响力却始终没有武器的大,其实小编想告诉大家,只要你装备搭配好了,有的时候起到... 
			
			
			
			
				
			
			
				
				
					
					 58 
				世界上最好的狙击枪 德国军工业造出性能最好狙击步枪 世界上最好的狙击枪是哪部?在二战的时候,战场上流传着神狙击手的传说,专门暗杀敌方首领,一击致命。想要做神狙击枪手... 
			
			
			
			
				 
			
			
				
				
					
					 181 
				荣耀水晶多少钱能抽出来 抽满幸运值兑换哪个最划算 《王者荣耀》中荣耀水晶是很多人都想要抽到的,因为这是获得武则天这样稀有英雄的唯一方式,同时也可以获得很多稀有的荣耀... 
			
			
			
			
				 
			
			
				
				
					
					 107 
				农业科技龙头企业先正达撤回科创板上市申请,将转申报沪市主板 图片来源:Unsplash 芥末堆文 5 月 18 日,先正达集团公告称,决定撤回在上海证券交易所科创板上市的申请,并向上海... 
			
			
			
			
				 
			
			
				
				
					
					 122 
				1970年世界杯冠军是哪个国家?巴西(墨西哥世界杯) 世界杯的举办对于全世界来说都是非常重要的足球赛事,时隔四年举办一次的世界杯备受人民的关注,每个人心中都有自己喜欢球... 
			
			
			
			
				
			
			
				
				
					
					 68 
				韩国最新r级限制片推荐 高颜值的男女主角 韩国限制r级大全片,韩国r级电影,韩国电影中最出色别致的就是唯美色调的R级限制电影,虽然影片中也有不少激情场面,但是融入了剧情,... 
			
			
			
			
				 
			
			
				
				
					
					 65 
				世界上嘴巴最大的人 比手掌还要长(嘴巴宽17厘米) 世界上嘴巴最大的人是佛朗西斯科 多明戈 乔吉姆,嘴巴宽度达到17厘米,比成年人的手掌还要长很多。嘴巴是面部当中相当重要的一个... 
			
			
			
			
				 
			
			
				
				
					
					 160 
				开工大吉祝福语简短 11条吉利文案很适合发朋友圈 开工大吉祝福语简短,11条吉利文案很适合发朋友圈: 1、新的一年开工大吉,愿目光所及 皆是美好。 2、我愿化作那招财猫,给你招... 
			
			
			
			
				 
			
			
				
				
					
					 111 
				五大出生于柳州的著名明星,哪一位最能代表株洲? 朱芳雨,朱芳雨1983年1月5日出生于广西柳州,中国职业篮球运动员,司职小前锋,因球衣号码为8号而绰号“朱8”,现任广东宏远篮... 
			
			
			
			
				 
			
			
				
				
					
					 164 
				漫画说法规之陆军“禁酒令” 文字:赖泰纬、施崇庆 图片:别富豪、陈 田 “酒”是中国传统文化中较为重要的一部分 在失落时,人们会借酒消愁 在得意时,人们会饮酒作乐 但是作为... 
			
			
			
			
				 
			
			
				
				
					
					 108 
				今天的诗-客行悲故乡 今天的诗——客行悲故乡 《商山早行》 【唐】温庭筠 晨起动征铎,客行悲故乡。 鸡声茅店月,人迹板桥霜。 槲叶落山路,枳花明驿墙。 因思杜陵梦,凫雁满回... 
			
			
			
			
				 
			
			
				
				
					
					 175 
				世界上死亡最快的鱼 白鰕虎鱼 大约只有一年寿命(寿命最短) 世界上死得最快的鱼就是白鰕虎鱼,大约只有一年的寿命。在海洋当中鱼的种类是多种多样的,有一些鱼它们的寿命就是特... 
			
			
			
			
				 
			
			
				
				
					
					 108 
				跨境电商常用erp系统(跨境电商erp软件) 随着近几年跨境电商行业飞速发展,跨境电商ERP也如雨后春笋的出来,所以在选择上可以看看哪些比较老牌的跨境电商ERP软件服务商。基本上“老... 
			
			
			
			
				
			
			
				
				
					
					 136 
				黄鼠狼最怕什么动物?最怕这三种动物! 黄鼠狼,中文正规名黄鼬,(因为它周身棕黄或橙黄,所以动物学上称它为黄鼬),隶属于食肉目鼬科鼬属。主要以啮齿类动物为食,也吃其他... 
			
			
			
			
				 
			
			
				
				
					
					 198 
				“绿色癌症”患者全球首次植入神经电刺激仿生装置,防止炎症复发 IT 之家 4 月 2 日消息,克罗恩病(Crohns disease),又称克隆氏症、克隆氏症候群或局部性肠炎,是一种发炎性肠道疾... 
			
			
			
			
				
			
			
				
				
					
					 174 
				叙利亚内战局势分析与战后重建的挑战 自叙利亚内战爆发以来,局势始终处于不断变化之中。然而,最近的情况似乎为这个饱受战争蹂躏的国家描绘出一幅相对稳定的画面。尽管阿萨德... 
			
			
			
			
				 
			
			
				
				
					
					 172 
				铁t是什么意思啊,指女同里像男生的(和男同中的1一样) 目前的网络用语是越来越多了,尤其是一些不好意思直接说出来的词语。其中有些人就曾问过铁t是什么意思啊?其实这也是同性... 
			
			
			
			
				 
			
			
				
				
					
					 70 
				世界上最大的蝗虫,重达23磅,体长48英寸 我们中国很少发生蝗虫灾难,因此,你对蝗虫的印象可能还停留在只是一种小害虫,或者只是一种美食的基础上。在一些欧美国家,他们那发... 
			
			
			
			
				 
			
			
				
				
					
					 118 
				秦时明月十大名剑,天问剑无人亲眼见过(最全图) 秦时明月这部动画讲述的是荆天明成长为盖世英雄的过程,中间有很多传统的中国元素,颇受观众喜爱。剧中秦时明月十大名剑也是备...